18 年
手机商铺
公司新闻/正文
1712 人阅读发布时间:2021-08-26 10:37

想调整研究方向,获得学术研究突破口?想获得论文选题思路,提高发文命中率?你需要了解学科发展态势和未来走向!赛业生物专栏《Gene of the Week》每周会根据热点研究领域介绍一个基因,详细为您介绍基因基本信息、研究概况和应用背景等,助您保持学术研究敏锐度,提高科学研究效率,期待您的持续关注哦。今天我们要讲的主角是与科凯恩氏综合症密切相关的ERCC6基因。
ERCC6基因简介
切除修复交叉互补组6基因(ERCC6),又名科科凯恩氏综合症B基因(Cockayne syndrome B,CSB)。该基因编码一种DNA剪切修复蛋白,具有ATP刺激的ATPase活性,与几种转录和切除修复蛋白相互作用,并可能促进DNA修复位点的复合物形成,在转录偶联核苷酸切除修复(TC-NER)中起重要作用。ERCC6基因位于人类的第10号染色体10q11上,基因全长为104.7kb,共有23个外显子,氨基酸数量为1493个。ERCC6基因的突变与科凯恩氏综合症(CS)密切相关。

表1. ERCC6的基本信息
备注:标有√的意为赛业红鼠资源库有该种保存状态的小鼠
ERCC6与科凯恩氏综合症(CS)
CS是一种罕见的常染色体隐性遗传疾病,在日本和西欧的发病率分别为1/277万和1/270万。CS临床特征复杂多样,包括生长迟缓、早衰、色素性视网膜病变、光敏感、感音神经性耳聋及小头畸形。其临床表型为一个连续而重叠的谱系,从重到轻依次为脑-眼-面-骨综合征(COFS)、CS Ⅱ型、CS Ⅰ型、CS Ⅲ型及紫外线敏感综合征。
目前,CS诊断方法主要有3种:
(1)依据典型表型进行诊断,具体诊断标准采用图1所示的2013年Laugel修正的版本。但此方法只适用于狭义的CS,即CS Ⅰ-Ⅲ型,而不适用于COFS和紫外线敏感综合征。
(2)基于CS在TC-NER中存在缺陷的理论,进行特定的DNA修复测试,测量皮肤成纤维细胞暴露于紫外线辐射后RNA合成的修复。
(3)利用二代测序技术进行DNA或RNA测序分析进行基因诊断[1]。

表2. CS的临床诊断标准[1]
ERCC6(CSB)与ERCC8(CSA)是CS的主要致病基因,其中CSB基因突变约占2/3。CSA与CSB通过TC-NER途径参与修复受损的DNA。CSA和CSB基因缺陷细胞,无法修复转录过程中遇到的DNA损伤,导致RNA聚合酶在该位置停滞,干扰基因表达,从而导致细胞功能障碍或细胞死亡,最终导致CS。目前,已报道97种CSB基因突变与Cockayne综合征相关,除了CSB纯和突变,CSB杂合突变也会导致CS。其中,CSB 蛋白结构和致病突变类型如图1所示[2]。

图1. CSB蛋白结构域及其致病的纯和与杂合突变类型[2]。
酸性区域 (A)、核定位信号 (N)、解旋酶基序 (I, Ia -VI) 和泛素结合域 (UBD)。
图(A):代表纯合突变;图(B):代表杂合突变。移码和无义突变显示在蛋白质上方,而缺失和错义突变显示在蛋白质下方。
CS相关小鼠模型
Gorgels等通过模仿人类CS患者的CSB(ERCC6)基因的截断,建立了核苷切除修复障碍的CS小鼠模型。结果表明,CSB基因特定截断小鼠(Csb-/-)具有一些类似于人类CS的特征,如转录偶联修复的缺陷、对紫外线过敏、自发性视网膜变性以及在紫外线暴露后无法恢复RNA合成。但与CS患者相比,Csb-/-小鼠对皮肤癌特别是鳞状细胞癌的易感性增加。这是由于人类主要以全基因组修复(GG-NER)途径处理紫外线诱导的CPD,而小鼠以TC-NER途径优先修复紫外线诱导的CPD。CS患者和Csb-/-小鼠的GG-NER功能不受影响,因此,Csb-/-小鼠因TC-NER缺陷而不能处理紫外线诱导的CPD,导致Csb-/-小鼠对癌症的易感性增加[3]。

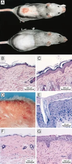
图2. 暴露于紫外线或 DMBA后对 csb-/-小鼠皮肤的急性和慢性影响[3]。
(A) 紫外线诱导CSB-/-小鼠皮肤红斑。上为CSB-/-雄性小鼠。下为野生型雄性小鼠。
(B) 连续4天暴露于UV-B(200 J/m/day)的野生型小鼠的皮肤切片。
(C) 连续4天暴露于UV-B(200 J/m/day)的CSB-/-小鼠的皮肤切片。野生型皮肤正常。CSB-/-的皮肤表现为增生(棘皮症和角化过度)。
(D) CSB-/-小鼠长期暴露于UV-B后的皮肤, 肉眼变化包括发红和鳞屑。
(E) CSB-/-小鼠长期暴露于UV-B后的皮肤,组织学变化包括棘皮症和角化不全。
(F) 用DMBA处理三周后野生型小鼠的皮肤切片。
(G) 用DMBA处理三周后CSB-/-小鼠的皮肤切片。野生型皮肤形态正常。CSB-/-的皮肤表现出明显的增生(棘皮症)。
CS的治疗
关于CS,目前主要采取对症治疗方式,比如对受影响器官进行物理治疗和小手术,例如去除白内障。对紫外线辐射非常敏感者,建议穿着紫外线防护服。
应对早衰症,北医三院运用干细胞治疗手段为一位14岁早衰症女孩实施治疗,成为国际首例胎盘干细胞治疗早衰症的病例。北医三院利用试管婴儿技术产下一名正常的男婴。随后从男婴的胎盘中分离出间充质干细胞(MSC),并移植到患病的姐姐体内。临床检测发现,患者的肝功能等指标出现好转,疾病表征出现缓解。
此外,wang等将携带ERCC6突变基因的CS患者的成纤维细胞重编程为诱导性多能干细胞(iPSCs),并使用CRISPR/Cas9系统进一步生成基因校正后的 CS-iPSCs (GC-iPSCs)。在CS-iPSCs诱导分化生成的间充质干细胞(CS-MSCs)和神经干细胞(CS-NSCs)中,也出现了CS相关的表型缺陷,这两种细胞对DNA损伤应激的易感性增加。但通过对ERCC6突变基因进行靶向校正,可以改善CS-MSCs的早衰缺陷。因此,利用CRISPR/Cas9 将自体iPSCs的致病基因突变进行靶向校正,随后定向诱导分化为无致病突变的GC-MSCs,会是一个可行的CS个体化治疗方案,为干细胞疗法治疗CS开辟了一条新思路[4]。
小结
ERCC6是CS的主要致病基因,CSB基因突变,会导致细胞无法修复转录过程中遇到的DNA损伤,进而使RNA聚合酶在该位置停滞,干扰基因表达,最终引发CS疾病。目前,应用于CS临床的治疗方法只能缓解CS症状,但不能根治这种疾病。虽然已报道首例利用弟弟健康的MSC移植治疗CS的案例,但长期大量使用干细胞进行异体治疗的安全性问题,还有待观察。除了异体MSC治疗,也有研究证明,通过体细胞重编程技术产生CS-iPSCs,然后通过CRISPR/Cas9实现致病基因突变的靶向矫正,进而定向诱导分化为自体GC-MSCs,可以改善CS-MSCs的早衰症状,但该方法尚未进行临床试验,且在应用前需要进行严格的安全性评估。
赛业生物一站式服务平台助力基因治疗研究
作为一家基于模式动物的国际化创新性CRO平台,赛业生物深知罕见病是全人类共同面临的公共健康问题,并希望通过自己在专业领域的技术专长助力罕见病基因治疗研究。赛业生物积累了大量的生物信息及基因编辑方面的数据,在模式动物持续的深耕也让我们在基因编辑技术方面一直走在行业前沿,结合赛业生物在人工智能领域的深度探索,我们可以给科学家们提供更高效的基因功能解析与基因治疗解决方案。

赛业生物罕见病基因治疗一站式解决方案可为研究罕见病及开发下游基因治疗的客户提供从突变基因的致病风险评估到小鼠模型制作,到表型分析,到基因治疗方案,到AAV载体设计直至小鼠模型药效验证的全套服务,免费的致病突变位点致病风险预测,免费提供罕见病模型构建方案及免费提供罕见病基因治疗下游验证方案。如您正在从事罕见病相关研究,欢迎联系我们,我们收到信息后,将有专业同事与您联系。
参考文献:
[1] 李东晓, 杨艳玲. Cockayne综合征的临床及遗传学研究进展 [J] . 中华实用儿科临床杂志,2018,33 (9): 714-717. DOI: 10.3760/cma.j.issn.2095-428X.2018.09.015.
[2] Vessoni AT, Guerra CCC, Kajitani GS, Nascimento LLS, Garcia CCM. Cockayne Syndrome: The many challenges and approaches to understand a multifaceted disease [J]. Genet Mol Biol. 2020 May 20;43(1 suppl. 1):e20190085. doi: 10.1590/1678-4685-GMB-2019-0085.
[3] van der Horst GT, van Steeg H, Berg RJ, van Gool AJ, de Wit J, Weeda G, Morreau H, Beems RB, van Kreijl CF, de Gruijl FR, Bootsma D, Hoeijmakers JH. Defective transcription-coupled repair in Cockayne syndrome B mice is associated with skin cancer predisposition [J]. Cell. 1997 May 2;89(3):425-35. doi: 10.1016/s0092-8674(00)80223-8.
[4] Wang S, Min Z, Ji Q, Geng L, Su Y, Liu Z, Hu H, Wang L, Zhang W, Suzuiki K, Huang Y, Zhang P, Tang TS, Qu J, Yu Y, Liu GH, Qiao J. Rescue of premature aging defects in Cockayne syndrome stem cells by CRISPR/Cas9-mediated gene correction [J]. Protein Cell. 2020 Jan;11(1):1-22. doi: 10.1007/s13238-019-0623-2.
本文来自赛业生物