19 年
手机商铺
技术资料/正文
319 人阅读发布时间:2025-06-10 17:19
前不久,Fate Therapeutics宣布其诱导多能干细胞(iPSC)来源的现货型CAR-T细胞疗法FT819获得FDA授予的再生医学先进疗法(RMAT)资格认定,用于治疗系统性红斑狼疮(SLE)及其并发症狼疮性肾炎(LN)。该疗法带来的突破性进展让人们看到了系统性红斑狼疮治疗的全新可能。
值此世界狼疮日(5月10日)来临之际,科学界正以创新疗法回应患者需求,让“隐形”的疾病被看见、被攻克。
关于系统性红斑狼疮
系统性红斑狼疮(SLE)是一种复杂的慢性自身免疫性疾病,其特征是免疫系统异常激活,错误地攻击身体自身的组织和器官,导致全身多系统的炎症和损伤。患者常表现为皮肤红斑、关节炎、肾脏损害、神经系统异常等症状,严重时可能危及生命。
SLE的发病机制尚未完全明确,但已知与遗传、环境因素、激素水平以及免疫系统失调密切相关。由于其病因复杂且临床表现多样,研究人员一直在努力寻找更有效的研究模型,以深入探索SLE的发病机制并开发新的治疗方法。
SLE动物模型推荐
在SLE的研究中,动物模型尤其是小鼠模型发挥了重要作用。赛业生物构建了咪喹莫特诱导的SLE小鼠、降植烷诱导的SLE小鼠以及MRL/MpJ-Fas 敲除小鼠,能够模拟人类SLE的典型病理特征,且验证数据稳定,具有较高的可重复性。
诱导造模
通过外源性药物咪喹莫特诱导,能够快速引发类似SLE的免疫异常和病理表现;咪喹莫特所构建的模型适用于研究SLE的急性发病机制和早期免疫反应,筛选潜在的治疗药物和评估干预效果。降植烷是中等长度的烷链,其作用机制与佐剂类似,可引起炎症和增强免疫反应;使用降植烷诱导的模型适用于寻找系统性红斑狼疮的特定致病机制、开发针对性的干预措施以及更具潜力的治疗药物。
基因编辑
MRL/MpJ-Fas敲除小鼠模型是通过基因编辑技术靶向敲除MRL/MpJ小鼠的Fas基因而构建,可用于研究FAS在自身免疫性疾病中的作用,为阐明系统性红斑狼疮(SLE)病因以及确定FAS信号级联中治疗自身免疫性疾病的潜在治疗靶点提供关键模型支撑。
6-8周BALB/c雌性小鼠耳部多次给与咪喹莫特(IMQ),诱导形成系统性红斑狼疮,治疗组同步给与泼尼松。

图1 动物体重变化曲线和动物临床表型

图2 动物血清dsDNA检测和尿蛋白检测

图3 动物脏器系数

图4 肾脏病理
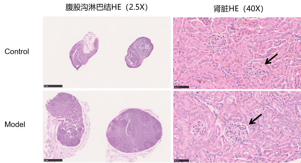
降植烷诱导的SLE模型
通过降植烷诱导BALB/c小鼠以构建SLE模型,在造模第6个月后,小鼠腹股沟淋巴结、脾脏明显增大,面背部脱毛,存在明显的系统性红斑狼疮症状。

图5 小鼠表型、淋巴结、肾脏及脾脏变化

图6 H&E染色

图7 anti-dsDNA检测
赛业生物模型丰富的自免及炎症药效平台
1、药效评价模型——基因编辑

2、药效评价模型——诱导造模

