19 年
手机商铺
技术资料/正文
1436 人阅读发布时间:2025-02-28 11:25
去年年底,系统性红斑狼疮(SLE)患者沙白因多年来病情控制不佳,而决定赴瑞士“安le死”,事件一度引发热议。提到红斑狼疮,许多人会很快联想到“不死癌症”“蝴蝶斑”等标签,这些词汇背后是疾病带来的真实痛苦与恐惧。
然而,医学研究与治疗的步伐从未停歇。不久前,浙大二院为3名红斑狼疮患者进行了两周三次的CAR-NK细胞输注治疗,并取得了显著疗效。这一突破性进展不仅为患者带来了新希望,也让人们对未来充满信心。
关于系统性红斑狼疮
系统性红斑狼疮(SLE)是一种复杂的慢性自身免疫性疾病,其特征是免疫系统异常激活,错误地攻击身体自身的组织和器官,导致全身多系统的炎症和损伤。患者常表现为皮肤红斑、关节炎、肾脏损害、神经系统异常等症状,严重时可能危及生命。
SLE的发病机制尚未完全明确,但已知与遗传、环境因素、激素水平以及免疫系统失调密切相关。由于其病因复杂且临床表现多样,研究人员一直在努力寻找更有效的研究模型,以深入探索SLE的发病机制并开发新的治疗方法。
SLE动物模型推荐
在SLE的研究中,动物模型尤其是小鼠模型发挥了重要作用。赛业生物构建了咪喹莫特诱导的SLE小鼠、降植烷诱导的SLE小鼠以及MRL/MpJ-Fas敲除小鼠,能够模拟人类SLE的典型病理特征,且验证数据稳定,具有较高的可重复性。
诱导造模
通过外源性药物咪喹莫特诱导,能够快速引发类似SLE的免疫异常和病理表现;咪喹莫特所构建的模型适用于研究SLE的急性发病机制和早期免疫反应,筛选潜在的治疗药物和评估干预效果。降植烷则是一种自身免疫诱导剂,通过激活B细胞和T细胞的异常活化,模拟SLE的慢性病程;降植烷诱导的模型适用于研究疾病长期进展、免疫调控机制以及慢性炎症的病理过程。
基因编辑
MRL/MpJ-Fas敲除小鼠模型是通过基因编辑技术靶向敲除MRL/MpJ小鼠的Fas基因而构建,可用于研究FAS在自身免疫性疾病中的作用,为阐明系统性红斑狼疮(SLE)病因以及确定FAS信号级联中治疗自身免疫性疾病的潜在治疗靶点提供关键模型支撑。
咪喹莫特诱导的SLE模型
6-8周BALB/c雌性小鼠耳部多次给与咪喹莫特(IMQ),诱导形成系统性红斑狼疮,治疗组同步给与泼尼松。实验期间,定期观察小鼠生长状况和体重,收集小鼠外周血和尿液,检测血清中抗自身抗体(anti-dsDNA)和尿蛋白等。

图1 动物体重变化曲线和动物临床表型

图2 动物血清dsDNA检测和尿蛋白检测

图3 动物脏器系数

图4 肾脏病理
降植烷诱导的SLE模型
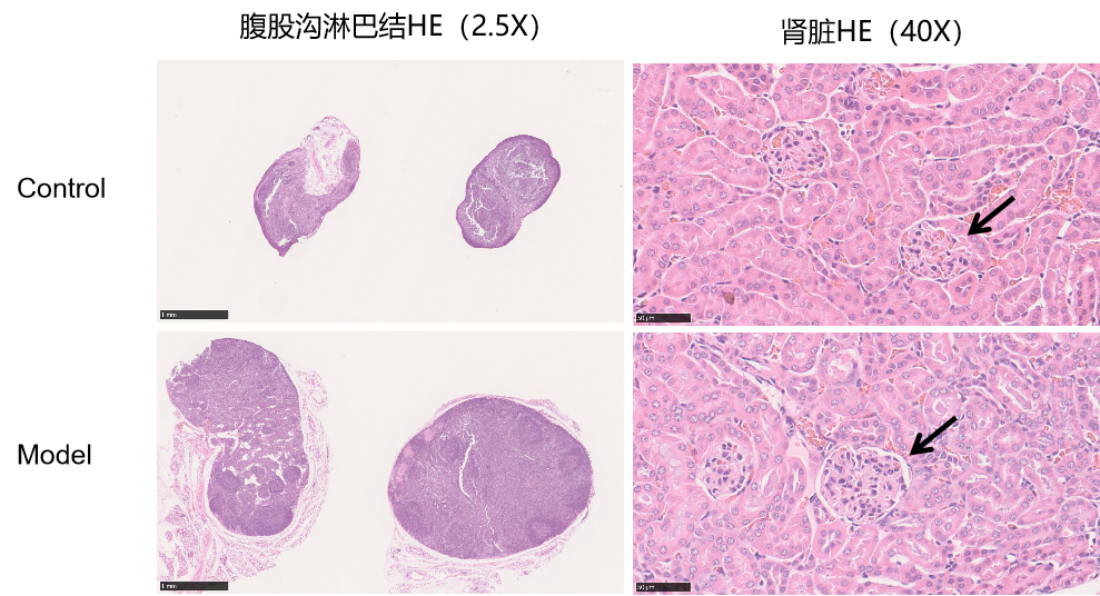
通过降植烷诱导BALB/c小鼠以构建SLE模型,在造模第6个月后,小鼠腹股沟淋巴结、脾脏明显增大,面背部脱毛,存在明显的系统性红斑狼疮症状。

图5 小鼠表型、淋巴结、肾脏及脾脏变化

图6 H&E染色

图7 anti-dsDNA检测
赛业生物模型丰富的自免及炎症药效平台
药效评价模型——基因编辑

药效评价模型——诱导造模
药效评价体外分析服务开展针对不同疾病模型和药物靶点及相关组织样本的体外分析,进行的效应性、安全性等研究,为药效筛选、药效机制研究和临床转化研究提供相关支持。
