18 年
手机商铺
公司新闻/正文
413 人阅读发布时间:2024-06-17 17:01
代谢功能障碍相关性脂肪肝炎(MASH),之前称为非酒精性脂肪肝炎(NASH),是一种慢性肝脏疾病。这种疾病通常源于代谢障碍相关性脂肪肝病(MASLD)、肥胖或糖尿病等,导致肝脏脂肪积累,异常的脂肪堆积可进一步引起炎症。如果没有及时干预会发展成肝脏纤维化,可能会进展为肝硬化或肝癌(HCC)[1]。今天,小赛要为大家介绍一款上线的HFD+CCl4诱导的MASH(NASH)小鼠。
HFD+CCl4诱导的MASH(NASH)小鼠构建方式
60%的高脂饮食(HFD)饲养12周的C57BL/6小鼠呈现肥胖、高血脂等症状,通过为期4周的CCL4诱导可使肝脏发生纤维化病变。Resmetirom(瑞司美替罗)每天灌胃治疗四周后,可显著降低高血脂、肝脏脂质堆积、纤维化等表型。

图1 HFD+CCl4诱导的MASH(NASH)小鼠研究概况
HFD+CCl4诱导的MASH(NASH)小鼠药效数据

图2 给药期间小鼠体重的变化曲线及试验终点肝重指标
HFD诱导12-16周的小鼠体重和肝重均升高,其中体重可达40g以上。治疗四周后,Resmetirom可显著降低动物体重和肝重。*P<0.05,与高脂饮食对照组差异显著。数据表示为平均值±标准误。*P<0.05视为具有统计学意义,采用单因素方差分析。


图3 小鼠总胆固醇(TC)水平、高密度脂蛋白胆固醇(HDL-C)水平及低密度脂蛋白胆固醇(LDL-C)水平

图4 丙氨酸氨基转移酶(ALT)水平及天门冬氨酸氨基转移酶(AST)水平
治疗期间给予CCL4后检测肝功指标,发现CCL4显著提高了ALT和AST的水平,治疗组的Resmetirom降低了CCL4诱导的血清中ALT和AST水平。数据表示为平均值±标准误,n=5。#P<0.05、##P<0.005与正常对照组比较;*P<0.05、**P<0.005与高脂饮食+CCL4组比较,采用单因素方差分析。




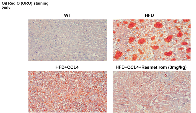
图5 小鼠肝脏病理组织学检测结果:HE染色、NAS评分、ORO染色与PSR染色
4周治疗后,Resmetirom保护了HFD和HFD+CCL4诱导的肝脏脂肪变性和气球样变。蓝色箭头表示脂肪变性,绿色箭头表示小叶炎,黑色箭头表示气球样变。脂肪变性(0-3分)、小叶炎症(0-3分)、气球样变(0-2分)、NAS评分(0-8分)。数据表示为平均值±标准误,n=5。

图6 肝α-平滑肌肌动蛋白α-SMA(Acta2)mRNA及一型胶原蛋白(Collagen 1α1)mRNA的水平表达
4周治疗后,Resmetirom抑制了由HFD+CCL4显著诱导的肝纤维化标志物的mRNA水平。数据表示为平均值±标准误,n=5。*P<0.05,**P<0.005,****P<0.001,采用单因素方差分析。
总 结
高脂饮食(HFD)诱导12周的小鼠(DIO)较普通饲料喂养的小鼠增加了体重和肝脏的重量。DIO小鼠血清中的TC、HDL-C和LDL-C的水平显著增加,较好地模拟了MASH的症状。DIO小鼠与四氯hua碳(CCL4)的组合可以加速和恶化MASH小鼠模型的病理过程,HFD+CCL4组较HFD组显著升高了血清中ALT和AST的水平,代表CCL4诱导肝脏发生了进一步的损伤。CCL4缩短了诱导时间,并加重了DIO小鼠肝纤维化。这种模型广泛用于临床前药效研究以评估新药对MASH的治疗和保护作用。Resmetirom对DIO+CCL4诱导的MASH模型具有保护和治疗作用,可以有效减少脂肪变性和纤维化。
以上模型为研究代谢功能障碍相关性脂肪肝炎提供了重要工具,有助于更深入地理解这种疾病的发病机制,并为开发新的治疗方法提供可能。此外,赛业生物还提供多种用于代谢和心血管疾病研究的基因编辑和诱导模型,以满足研发人员在相关研究领域的实验需求。
代谢和心血管疾病精选模型推荐——基因编辑
赛业生物药物筛选评价小鼠模型平台可为您提供Ldlr KO (em)、Lep KO、Uox-KO (Prolonged)、Atp7b KO、Foxj1 KO等多类型代谢相关基因编辑模型,助力新药研发。

代谢和心血管疾病精选模型推荐——诱导造模

参考文献:
[1] Shuang Wang and Scott L. Found in Translation – Fibrosis in Metabolic Dysfunction-Associated Steatohepatitis (MASH). Sci Transl Med. 2023 Oct 4; 15(716).