18 年
手机商铺
公司新闻/正文
649 人阅读发布时间:2023-07-25 18:19
随着改善糖尿病患者健康和福祉的新研究、技术和治疗方法的不断涌现,糖尿病治疗领域正在加速发展。其中,GLP-1(胰高血糖素样肽-1)受体激动剂类药物用于治疗2型糖尿病时,不仅降糖效果显著,还兼具减重、降压、改善血脂谱等作用,近年来已成为全球降糖、减重市场领域明星产品。今年6月,美国《糖尿病诊疗标准》(ADA指南)进行了年中更新,其中第四节增加了GLP-1受体激动剂治疗2型糖尿病和非酒精性脂肪性肝炎(NASH)患者的作用,吡格列酮或GLP-1RA是经活检证实的NAFLD合并2型糖尿病成人高血糖的治疗药物[1]。
糖尿病的发病机理复杂,至今尚未完全阐明,目前还没有根治方法,因此,需要建立和选择适当的糖尿病动物模型进行糖尿病研究。而相较于传统动物模型,人源化小鼠由于在模拟人类生理和病理特征方面表现出更强的相关性,更适用于糖尿病治疗研究。赛业生物自主研发的hGLP1R全人源化小鼠模型,可用于肥胖和2型糖尿病等多种代谢性疾病的致病机理研究以及GLP-1RA 类药物研发筛选。
B6-hGLP-1R小鼠知多少
产品编号:C001421
品系背景:C57BL/6N
传代方案:纯合与纯合互配
构建方式:
通过基因编辑技术,将小鼠Glp1r基因部分1号外显子的编码序列和部分内含子 1 序列替换为 "hGLP1R Exon 1~2 CDS- hGLP1R Intron 2 - hGLP1R Exon 3~13 CDS - mGlp1r 3'UTR - hGH pA",保留编码小鼠GlP1R蛋白信号肽的基因序列。
B6-hGLP-1R小鼠基因编辑打靶示意图
验证数据:
(1) 表达量检测

野生型小鼠(WT)和B6-hGLP-1R小鼠肺部组织的QPCR检测(左)和Western blot 检测(右)。结果显示B6-hGLP-1R小鼠表达人源GLP-1R。
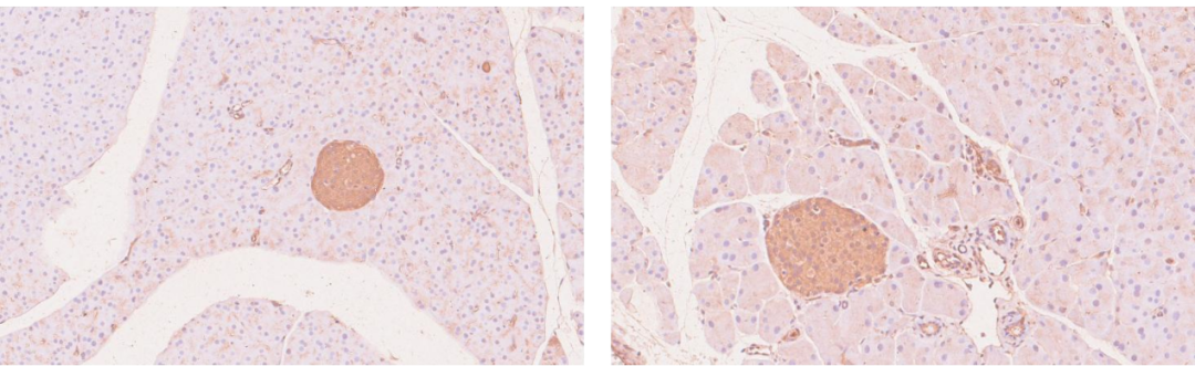
(2) 免疫组化检测

野生型小鼠(WT, 左)和 B6-hGLP-1R 小鼠(右)胰腺免疫组化染色。结果显示在B6-hGLP-1R小鼠的胰岛中特异分布着人源GLP-1R的表达。
(3) GLP-1R 激动剂药效验证

GLP-1R激动剂PF-06882961在野生型小鼠(WT)和B6-hGLP-1R小鼠体内的降血糖药效验证。通过葡萄糖耐量试验(IPGTT)检测野生型小鼠与B6-hGLP-1R小鼠在给药前后的血糖含量,并通过测定血糖 AUC(Area Under the Curve)评估给药前后血糖的动态变化。结果显示,与野生型小鼠相比,由于人源GLP-1R的存在,PF-06882961在B6-hGLP-1R小鼠表现出良好的降血糖效果*(p<0.001)。
*PF-06882961 是一种非肽GLP-1R激动剂(GLP-1RA),仅在具有Trp33 ECD结构的GLP-1R中激活典型G蛋白信号通路[2]
想了解如何通过hGLP1R全人源化小鼠模型进行药物研发吗?7月27日,由赛业生物高级科学家李月博士主讲的「与“糖”之战——赛业hGLP1R小鼠模型携手代谢病平台助力新药研发」线上课程,通过介绍糖尿病的病理机制,详细讲解当前最热门的降糖靶点——GLP-1R,再结合具体的应用场景讲述全人源化小鼠模型如何助力糖尿病的新药研发,为您揭开GLP-1R靶点的神秘面纱。「码」上报名,相约云端,参与课程将有机会获得腾讯VIP半年卡等惊喜好礼!
01 知识要点提前掉落
1.糖尿病为何是“万病之源”?
2.GLP-1R:最“吸睛”的降糖靶点
3.赛业生物代谢疾病药效平台
4.常见问题解答
02 讲师简介
李月 博士
赛业生物高级科学家
微生物与免疫学博士,执业兽医师。具有深厚的生物医学背景。于加拿大麦吉尔大学进行黏膜免疫的博士后研究,后于国内知名三甲医院进行代谢病方向的临床转化工作。在肠道菌群,免疫学和疾病模型构建方面具有丰富的经验。主持多项国内外科技项目,研究成果发表于Microbiome,Cell Mol Immunol等权威期刊。
03 代谢疾病小鼠模型推荐
赛业生物药物筛选评价小鼠模型平台,模型验证数据稳定,药理药效评价系统完善,可为您提供Ldlr KO (em)、Lep KO、Uox-KO (Prolonged)、Atp7b KO、Foxj1 KO等包含糖尿病小鼠模型在内多种定制小鼠模型及表型分析服务.
| 产品编号 |
产品名称 |
品系背景 |
研究应用 |
| C001067 |
APOE |
C57BL/6N |
动脉粥样硬化 |
| C001291 |
B6-db/db |
C57BL/6J |
高血糖和肥胖 |
| C001392 |
Ldlr KO(em) |
C57BL/6J |
家族性高胆固醇血症 |
| C001368 |
B6-ob/ob(Lep KO) |
C57BL/6J |
II型糖尿病及肥胖 |
| C001232 |
Uox KO |
C57BL/6J |
高尿酸血症 |
| C001393 |
Uox-KO (Prolonged) |
C57BL/6J |
高尿酸血症 |
| C001267 |
Atp7b KO |
C57BL/6N |
铜代谢紊乱疾病(威尔逊病) |
| C001265 |
Foxj1 KO |
C57BL/6N |
原发性纤毛运动障碍 |
| C001266 |
Usp26 KO |
C57BL/6N |
克氏综合征 |
| C001273 |
Fah KO |
C57BL/6N |
酪氨酸血症Ⅰ型 |
| C001383 |
Alb-Cre/LSL-hLPA |
C57BL/6N |
心血管靶点 |
| C001421 |
B6-hGLP-1R |
C57BL/6N |
代谢靶点 |
| C001400 |
B6J-hANGPTL3 |
C57BL/6J |
代谢靶点 |
| 肺动脉高压模型 |
心血管疾病模型 |
动脉硬化模型 |
外周血管疾病模型 |
| 酒精性脂肪肝炎模型 |
非酒精性脂肪肝炎模型 |
CCL4诱导的急性肝损伤模型 |
慢性肝损伤模型 |
| 糖尿病及并发症模型 |
肥胖模型 |
肾病模型 |
脑卒中模型 |
参考文献:
[1] Nuha A. ElSayed, Grazia Aleppo, Vanita R. Aroda, et al. American Diabetes Association; 4. Comprehensive Medical Evaluation and Assessment of Comorbidities: Standards of Care in Diabetes—2023. Diabetes Care 1 January 2023; 46 (Supplement_1): s49–s67.2. https://doi.org/10.2337/dc23-S004
[2] Saxena AR, Gorman DN, Esquejo RM, Bergman A, Chidsey K, Buckeridge C, Griffith DA, Kim AM. Danuglipron (PF-06882961) in type 2 diabetes: a randomized, placebo-controlled, multiple ascending-dose phase 1 trial. Nat Med. 2021 Jun;27(6):1079-1087.