18 年
手机商铺
公司新闻/正文
373 人阅读发布时间:2021-12-13 11:38
基于AAV载体的基因治疗在近年来备受关注,今天给大家分享的文章证实了通过AAV调控相关基因表达,可缓解全身性代谢紊乱,从而提高胰岛素敏感性,为人类肥胖相关代谢性疾病提供了新的治疗策略。
近年来研究表明胰岛素抵抗与代谢紊乱相关,为探讨PPA1对全身性胰岛素敏感性的影响,研究人员首先构建了PPA1基因敲除小鼠,通过高脂喂养后出现脂肪细胞功能损伤和全身代谢紊乱,并表现出多组织的胰岛素抵抗。进而通过AAV递送使PPA1基因敲除小鼠体内过表达PPA1,发现全身性代谢紊乱和胰岛素抵抗等疾病表型得到了显著改善,进一步研究证实了,PPA1可作为PPARγ靶基因,起到维持脂肪细胞线粒体功能并达到调节全身胰岛素敏感性的作用。
构建PPA1基因敲除小鼠模型并观察到胰岛素敏感性下降
通过构建PPA1基因敲除小鼠(实验组),给予正常饲料喂养,发现实验组小鼠相比于野生型(对照组)小鼠在体重、血糖水平以及葡萄糖耐量试验等方面无显著差异,但通过葡萄糖钳夹技术(检测胰岛素抵抗的“金标准”)检测,我们发现实验组小鼠的胰岛素敏感性降低,随着小鼠年龄的增长,其胰岛素抵抗不断升高,且相比于对照组小鼠的空腹血糖显著升高,表明AAP1可能在维持全身性胰岛素敏感性上发挥重要作用。
图1. PPA1基因缺陷可引起小鼠胰岛素敏感性下降。
PPA1的缺乏加剧高脂喂养导致的小鼠脂肪代谢紊乱和胰岛素抵抗
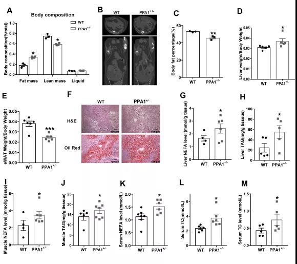
通过高脂喂养,我们发现在相同能量摄入的条件下,实验组小鼠的体重相比对照组增加程度更大,空腹血糖水平也更高,其中实验组小鼠的耗氧量、CO2产生量和呼吸交换率RER均显著下降,这表明能量消耗减少是PPA1基因敲除小鼠肥胖的原因之一。在实验组小鼠的肌肉、肝脏和脂肪组织中均发现胰岛素信号传导通路受到了显著抑制,从而表现出更低的胰岛素敏感性。进而通过检测小鼠身体成分,发现小鼠出现严重的非脂肪组织的脂质沉积,即皮下脂肪组织和内脏组织的脂肪沉积减少,但在肝脏中的沉积及外周血中血清总胆固醇(TC)、甘油三酯(TG)水平显著升高。
图2. 高脂喂养小鼠脂肪量减少和异位脂肪沉积增加。
通过AAV2/9表达PPA1可显著改善小鼠全身性代谢紊乱及胰岛素抵抗
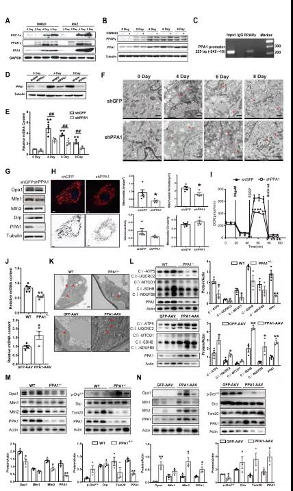
通过对组织形态和功能进行分析,发现在实验组PPA1缺陷小鼠中,参与脂肪细胞分化功能的多个基因出现表达下降,血清脂联素水平也显著降低。因此怀疑PPA1可能是通过影响脂肪细胞功能从而导致全身性非脂肪组织脂质沉积和代谢紊乱,从而加剧胰岛素抵抗。为了验证这个假设,在PPA1缺陷小鼠的腹股沟白色脂肪组织中原位注射AAV2/9(小鼠4周龄,1×1012 vg/ml,连续注射2次,每次12μl),实现PPA1基因的过表达。与GFP组相比,小鼠的血清脂联素显著升高,且脂肪组织炎症、肝脏脂肪变性及含量、TC/TG水平均显著得到了改善,更重要的是,小鼠肝脏和肌肉中的胰岛素敏感性得到了显著恢复。这证实了通过AAV原位注射,将目的基因递送到脂肪组织中实现PPA1的表达,可有效改善(治疗)因PPA1缺陷而导致的胰岛素抵抗。

图3. PPA1缺陷引起脂肪组织损伤与全身胰岛素抵抗有关。
PPA1通过影响脂肪细胞线粒体功能及其产物发挥其对代谢紊乱的改善作用
通过生信预测,发现PPARγ可直接靶向结合PPA1的启动子上,且在脂肪细胞中两者表达呈正相关。由于PPARγ被认为是脂肪生成和线粒体功能的关键调节因子,作者通过代谢组学分析,发现PPA1敲低表达后约226种线粒体代谢产物增加,132种产物减少,包括多种与线粒体功能障碍密切相关的代谢物。
图4. PPA1通过影响脂肪细胞线粒体功能及其产物发挥其对代谢紊乱的改善作用。
总结
PPA1缺陷会引发脂肪细胞功能损伤及多组织的胰岛素抵抗,并进一步引发全身代谢紊乱,其可能机制为PPA1缺乏会破坏脂肪细胞的线粒体生物学功能。通过AAV的递送使PPA1缺陷小鼠体内过表达PPA1,可有效改善脂肪细胞的代谢和脂质沉积,并提高胰岛素敏感性,发挥了一定的治疗效果。
赛业生物基因治疗一站式解决方案
赛业生物作为一家综合解决方案提供商,建立了多位一体的基因治疗创新性CRO平台服务网络。在过去十余年,赛业生物积累了大量的基因信息数据,在模式动物持续的深耕也让我们在基因编辑技术方面一直走在行业前沿,结合赛业生物在人工智能领域的深度探索,我们可提供高效的基因功能解析与基因治疗一站式解决方案。可为从事基因治疗的研究者提供更高效的基因功能解析与基因治疗一站式解决方案,包括靶点筛选与功能研究,动物模型构建和病毒载体如AAV、LV、ADV等设计与包装,以及表型分析等全流程服务。

原文检索:
Yin Y, Wu Y, Zhang X, Zhu Y, Sun Y, Yu J, Gong Y, Sun P, Lin H, Han X. PPA1 Regulates Systemic Insulin Sensitivity by Maintaining Adipocyte Mitochondria Function as a Novel PPARγ Target Gene. Diabetes. 2021 Jun;70(6):1278-1291. doi: 10.2337/db20-0622. Epub 2021 Mar 15. PMID: 33722839.
关于赛业
赛业生物科技集团是一家基于模式动物药物研发的国际化创新性CRO平台。依托于品系丰富的基因编辑小鼠资源库、高效且智能化的模式动物定制平台、药物筛选评价小鼠模型平台、一站式小动物表型分析平台、一站式无菌鼠技术服务平台及先进的细胞技术服务平台,建立了多位一体的创新性CRO平台服务网络,以服务于肿瘤、免疫、代谢、内分泌、心血管、神经及传染病等方向的科学研究及药物研发筛选,并与全球100多个国家和地区的数万名科学家及企事业单位建立了广泛的合作,产品与技术已直接应用于包括CNS(Cell, Nature, Science)三大期刊在内的6200余篇学术论文。赛业生物已获得ISO9001:2015和AAALAC双认证,确保向广大专家学者提供的所有产品和技术服务符合国际标准的同时也表达了我们尊重动物福利和伦理,重视生物安全的负责任态度。 如有需要,欢迎后台留言或者联系我们咨询。