19 年
手机商铺
公司新闻/正文
424 人阅读发布时间:2021-11-29 15:25
今天和大家见面的是Uts2基因敲除小鼠。
Uts2基因
Uts2基因编码一个环状七肽,从七鳃鳗到人类,该肽具有高度保守性。该基因编码的活性肽是一种血管收缩剂,而且仅在脑组织中表达。虽然Uts2家族的英文名与尿皮素(urocortin)相似,但该基因与尿皮素并不同源。该蛋白在成熟的过程中通过蛋白质水解酶切除前体蛋白的大部分氨基酸进而产生成熟的功能蛋白,之后分泌到血浆中。该基因通过不同的切割前体蛋白的方式产生不同的蛋白亚型。缺乏该编码蛋白的小鼠具有显著降低的低密度脂蛋白胆固醇代谢谱以及肝脂肪变性的表型,而这些表型与肝细胞从头合成胆固醇的减少和载脂蛋白B的分泌减少有关[1,2]。
图1. UTS2蛋白结构预测模型[3]。
与Uts2相关的疾病包括门静脉高血压和充血性心力衰竭,与该蛋白相关的通路包括p70S6K信号转导途径以及ERK信号通路。与该基因相关的GO分析注释包括信号受体结合能力和激素活性[4]。
Uts2基因敲除小鼠
Uts2基因敲除(Uts2 KO)纯合小鼠有巨噬细胞和肝脏胆固醇含量变化的表型[5]。
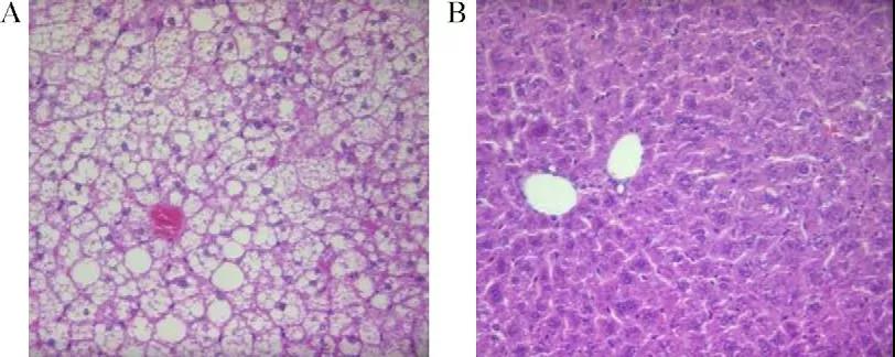
研究人员经过喂食高脂饲料的,对来自野生型(WT)和Uts2 KO小鼠的肝脏切片进行-伊红染色,结果显示WT小鼠中存在广泛的肝脂肪变性(图 2A)。相比之下,Uts2 KO小鼠的肝脏切片几乎没有脂肪变性(图 2B)[6]。
图2. 伊红染色的野生型 (WT) (A) 和 Uts2 KO小鼠肝脏的石蜡切片。在WT小鼠肝脏中发现大量脂肪变性,但在Uts2 KO小鼠的肝脏中未发现[6]。
给小鼠喂食高胆固醇饲料,然后将来自WT和Uts2 KO小鼠的血清通过高效液相色谱并根据体积大小分离血浆脂蛋白,同时测定游离胆固醇(FC,图 3)和三酰甘油(TG,数据未显示)含量。实验结果显示,Uts2 KO组小鼠血清中的低密度脂蛋白含量低于WT组(图 3),同时低密度脂蛋白的体积大小以及低密度脂蛋白的相对量都有所减少。同样,Uts2 KO小鼠血清中具有相对较多的高密度脂蛋白并且其体积也更大[6]。
图3. Uts2 KO小鼠与WT小鼠血清的高效液相色谱结果。Uts2 KO小鼠血清样品会在专门校准的色谱系统上运行,用以从少量血清中分离脂蛋白。该曲线为运行6次结果的平均值[6]。
研究人员为了研究在脂质缺乏的条件下胆固醇酰基转移酶的基础活性,分别从WT、Apoe KO 和 Uts2 KO的小鼠中分离巨噬细胞,并根据已建立的实验操作标准在不同的培养基中对巨噬细胞进行培养。具体来说,细胞先在无血清培养基中培养16小时,然后在含有10%脂蛋白缺乏的自体血清(DS)或者10%自体血清(AS,不用FBS,防止引入额外的Uts2或Apoe)以及包含5μ标记过的胆固醇(Ci 3H-cholesterol)的培养基中培养8小时或24小时。为了确定胆固醇酰基转移酶的活性,研究人员在不同的时间点增加了使用胆固醇酰基转移酶抑制剂 (58035)的对照组,但之后会撤去抑制剂。通过提取细胞脂质并使用薄层色谱法测量,得到放射性总胆固醇或细胞蛋白的CE结果图(每个数据点n = 4)。结果表明,在胆固醇存在的条件下,与WT和Apoe KO小鼠相比,Uts2 KO小鼠中的巨噬细胞中胆固醇酰基转移酶的活性更高(图 4)[6]。

图 4. 巨噬细胞的脂化状态会对个体对胆固醇酯化作用产生影响。研究人员分别从WT、Apoe KO或 Uts2 KO的小鼠中提取腹膜巨噬细胞,并将其饲养在脱脂自体血清 (DS) 或 10% 自体血清 (AS) 中,然后在8或24小时的时间节点对酯化的胆固醇相对含量进行测量[6]。
除此之外,许多研究显示,Uts2和炎症的发生具有一定关联。图5介绍了Uts2的促炎机制。如图所示,脂多糖与TLR4的结合启动了MyD88依赖的和非依赖的(或 TRIF)信号通路,通过分别激活NF-κB、p38 MAPK、IRF3通路来诱导促炎细胞因子的产生。Uts2多肽与其受体UT的结合上调核内p38 MAPK蛋白磷酸化的水平,并促进核转移以及NF-κB p65亚基与DNA结合活性,进而导致促炎细胞因子的表达。同时,Uts2/UT系统能激活IRF3-IFN-β信号通路并上调TNF-α和IL-1β蛋白含量[7]。
图5. Uts2的促炎机制[7]。
小结
Uts2基因敲除小鼠的研究比较少,但其研究内容较一般的脂代谢文章来说,观点和试验方法都不太一样,有兴趣的老师可以查阅更多相关的文章。除此之外,对于Uts2来说,新的研究方向会集中于对其促炎功能的研究,Uts2会激活炎症通路,并上调相关蛋白的表达。有趣的是,如果将这两方面结合,炎症是不是会与脂质代谢的异常有关呢?
赛业“红鼠资源库”涵盖基因敲除小鼠、条件性敲除小鼠及海量突变位点小鼠品系,强大的数据库给您更便捷的体验,研究人员能够在线查询、设计和优化基因编辑方案并比较研究数据和成果,并咨询订购。
“红鼠资源库”可以为您提供Uts2敲除小鼠,而且Uts2全身性敲除活体小鼠现在正在参与秒杀,48小时内即可发货,最后两天,如有需要,欢迎后台留言或联系我们咨询~

年末福利
参考资料:
1. https://www.ncbi.nlm.nih.gov/gene/10911
2. https://www.ncbi.nlm.nih.gov/gene/24111
3. https://alphafold.ebi.ac.uk/entry/O95399
4. https://www.genecards.org/cgi-bin/carddisp.pl?gene=Uts2&keywords=Uts2
5. http://www.informatics.jax.org/marker/MGI:1346329
6. Kiss R S , You Z , Genest J , et al. Urotensin II differentially regulates macrophage and hepatic cholesterol homeostasis[J]. Peptides, 2011, 32(5):956-963.
7. Sui-Lin, Sun, Liang-Ming, et al. Urotensin II: an inflammatory cytokine.[J]. Journal of Endocrinology, 2019.
关于赛业
赛业生物科技集团是一家基于模式动物药物研发的国际化创新性CRO平台。依托于品系丰富的基因编辑小鼠资源库、高效且智能化的模式动物定制平台、药物筛选评价小鼠模型平台、一站式小动物表型分析平台、一站式无菌鼠技术服务平台及先进的细胞技术服务平台,建立了多位一体的创新性CRO平台服务网络,以服务于肿瘤、免疫、代谢、内分泌、心血管、神经及传染病等方向的科学研究及药物研发筛选,并与全球100多个国家和地区的数万名科学家及企事业单位建立了广泛的合作,产品与技术已直接应用于包括CNS(Cell, Nature, Science)三大期刊在内的5700余篇学术论文。赛业生物已获得ISO9001:2015和AAALAC双认证,确保向广大专家学者提供的所有产品和技术服务符合国际标准的同时也表达了我们尊重动物福利和伦理,重视生物安全的负责任态度。如有需要,欢迎后台留言或者联系我们咨询。