19 年
手机商铺
技术资料/正文
1142 人阅读发布时间:2025-07-29 18:33
补体系统是机体免疫防御的关键组成部分,其异常活化与多种炎症和自身免疫性疾病密切相关,是极具潜力的新药靶点。近年来,靶向C3和C5的补体抑制剂在临床上表现出色,相较于传统疗法存在的给药频繁、组织穿透性不足等局限性,双特异性抗体和siRNA疗法等新型治疗策略展现出突破性优势——通过靶向特异性调控实现更精准、持久且高效的补体抑制。以siRNA疗法为例,其显著降低给药频率的特性可有效提升患者依从性。为加速这些创新疗法的研发,赛业生物开发了C3和C5人源化小鼠模型。这些模型通过精准基因替换确保人源蛋白表达,为双抗、siRNA等新型补体抑制剂及其联合治疗方案提供高度临床相关的研发平台,助力攻克补体相关疾病的治疗瓶颈。
补体系统核心分子C3和C5
补体系统作为固有免疫的重要组成部分,在宿主防御、炎症调控及组织稳态维持中发挥核心作用,其中补体成分C3和C5是该系统的关键效应分子。C3作为血浆中含量最丰富的补体蛋白,主要由肝脏合成,在经典途径、旁路途径和凝集素途径三条补体激活通路中,均会被C3转化酶裂解为C3a和C3b。C3a作为强效过敏毒素,可介导促炎反应;而C3b不仅具有调理素功能,能促进病原体清除,还可参与形成C5转化酶,进一步激活下游补体级联反应。C5同样由肝脏合成,经C5转化酶作用后生成C5a和C5b,前者是强效炎症介质,后者则启动膜攻击复合体(MAC)的组装,介导细胞裂解等生物学效应。值得关注的是,当C3缺失时,凝血酶可通过替代途径激活C5,这一发现揭示了补体系统与凝血系统之间的新型交互机制。

补体通过经典途径、凝集素途径和旁路途径进行传播。[1]。
siRNA疗法与双特异性抗体成补体靶向治疗新焦点
目前针对补体C3靶点的研发管线主要聚焦于补体介导的疾病领域,包括C3肾小球病(C3G)、阵发性睡眠性血红蛋白尿(PNH)、非典型溶血尿毒综合征(aHUS)和年龄相关性黄斑变性(AMD)等。该靶点已有成熟的合成多肽抑制剂Pegcetacoplan上市,当前研发热点转向siRNA药物,其中进展最快的项目已进入II期临床,吸引了多家国内外企业布局 [2]。补体C5位于补体级联反应的末端,其裂解产物C5a和C5b-9(膜攻击复合物,MAC)是介导炎症和细胞损伤的关键效应分子。C5异常激活与多种疾病相关,包括阵发性夜间血红蛋白尿(PNH)、非典型溶血性尿毒症综合征(aHUS)、重症肌无力(gMG)及视神经脊髓炎谱系疾病(NMOSD)等。目前C5靶点已有多个单抗药物上市,创新疗法中:Gefurulimab(双特异性纳米抗体联合albumin)正在gMG领域开展III期临床;RNAi疗法Cemdisiran则在IgA肾病适应症中显示出潜力并进入III期。值得关注的是,C3和C5双靶点抑制的双抗药物和基因疗法药物也在近期进入二期临床阶段,分别用于C3肾小球病和AMD治疗 [2]。这一趋势预示着未来补体疾病治疗可能向多机制联合、更精准便利的方向发展。

Kriya的AAV基因疗法抑制补体C3和C5通路 [3]。
ANGPT2/VEGFA人源化小鼠:抗血管生成治疗新工具
赛业生物开发的C3基因人源化小鼠模型(产品编号:I001135)和C5基因人源化小鼠模型(产品编号:C001824),为补体系统相关疾病研究提供了重要的临床前工具。这些模型旨在帮助:
1)加速验证C3和C5作为补体介导疾病(如PNH、aHUS、AMD等)治疗靶点的转化医学价值;
2)促进开发新型补体靶向药物(如siRNA疗法、双抗药物及基因治疗策略);
3)优化现有补体抑制剂的临床前疗效评估,为精准治疗研究提供可靠动物模型支持。
|
产品名称 |
产品编号 |
品系全称 |
类型 |
|
B6-hC3小鼠 |
I001135 |
C57BL/6JCya-C3tm1(hC3)/Cya |
C3基因人源化 |
|
B6-hC5小鼠 |
C001824 |
C57BL/6JCya-Hctm1(hC5)/Cya |
C5基因人源化 |
部分验证数据如下(详见品系说明书)
B6-hC3小鼠
ELISA结果显示,纯合雄性(hC3-Ho-♂)、纯合雌性(hC3-Ho-♀)和杂合雌性(hC3-Het-♀)的B6-hC3小鼠的血清中均检测到人源C3蛋白的显著表达。

B6-hC3小鼠和野生型小鼠(WT)血清中人源C3蛋白的表达。
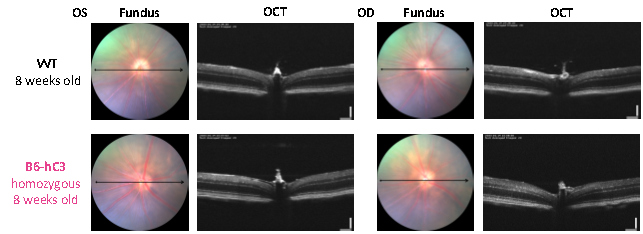
纯合B6-hC3小鼠的眼底形态和视网膜OCT结果与野生型一致。
*OD (Oculus Dexter):右眼;OS (Oculus Sinister):左眼。

8周龄纯合B6-hC3小鼠和野生型小鼠(WT)的眼底形态(Fundus)和光学相干断层扫描(OCT)检测结果。
结果显示,8周龄纯合B6-hC3小鼠暗适应(Scotopic)和明适应(Photopic)的a波、b波振幅几乎与野生型小鼠相同,表明纯合B6-hC3小鼠的视网膜感光器功能正常。

8周龄野生型小鼠(WT)和纯合B6-hC3小鼠眼部ERG检测结果
B6-hC5小鼠
RT-qPCR分析表明,B6-hC5纯合小鼠的肝脏和肺组织中检测到人源C5基因表达(鼠源C5未检出),而野生型(WT)小鼠仅检测到内源性鼠源C5表达

6周龄纯合 B6-hC5小鼠和野生型(WT)小鼠肝脏(Liver)和肺(Lung)的基因表达检测。
ELISA结果显示,B6-hC5小鼠的血清和血浆中存在人源C5和C5a的显著表达,而WT中未表达。本次血清和血浆样本的检测结果无差异。雄性纯合B6-hC5小鼠的人源C5和C5a表达量均显著高于雌鼠。

6周龄纯合B6-hC5小鼠和野生型(WT)小鼠血清(Serum)和血浆(Plasma)中人源C5和C5a蛋白的表达情况。
综上,赛业生物开发的C3人源化小鼠(产品编号:I001135)和C5人源化小鼠(产品编号:C001824)精准重构了人类补体系统的关键调控机制,为补体介导疾病(如PNH、aHUS、AMD等)的病理研究提供了高度可靠的实验平台。该模型完美模拟人类补体蛋白的表达特征,使其成为靶向C3/C5药物开发(包括siRNA疗法、双抗药物及其他补体抑制剂)、联合治疗方案评估和临床前药效验证的理想工具,将显著推动补体靶向治疗领域的创新突破。
参考文献