19 年
手机商铺
技术资料/正文
857 人阅读发布时间:2025-06-13 15:08
胰高血糖素样肽-1(GLP-1)受体(GLP-1R)是G蛋白偶联受体(GPCR)家族的重要成员,广泛分布于多种人体细胞表面。该受体能特异性结合GLP-1,这是一种在血糖调控、脂质代谢及多种关键生理功能中发挥核心作用的激素。近年来,GLP-1类药物凭借其独特的作用机制、卓越的治疗效果以及广阔的临床应用前景,已成为医学研究和药物开发的热门领域[1]。FDA已批注GLP-1受体激动剂是治疗2型糖尿病(T2D)和肥胖症的关键药物。同时,该药物类别已成为生物制药公司最具盈利潜力的投资领域之一。根据Coherent Market Insights 2024年11月的报告预测,到2031年,GLP-1市场规模将接近560亿美元[2]。
糖尿病和肥胖与代谢障碍相关性脂肪肝炎(MASH / NASH)疾病相关联,GLP-1受体激动剂被视为一种潜在的治疗选择。2024年第四季度,诺和诺德公布了司美格鲁肽(Semaglutide)针对MASH病人的试验第一部分的主要结果。这项3期、双盲试验共招募了1200名MASH合并中至重度肝纤维化(2或3期)患者,评估每周一次2.4 mg司美格鲁肽在前800名随机患者中的疗效。试验达到主要终点:与安慰剂相比,司美格鲁肽显著改善肝纤维化且不加重脂肪性肝炎,同时促进脂肪性肝炎缓解且不加重肝纤维化。72周时,37.0%患者肝纤维化改善(安慰剂组22.5%),62.9%患者脂肪性肝炎缓解(安慰剂组34.1%)[3]。
针对该疾病的研究,赛业生物代谢平台构建了HFD+CCl4诱导的MASH模型,高度模拟了MASH的临床纤维化特征,并通过瑞司美替罗(Resmetirom)和司美格鲁肽(Semaglutide)两种药物验证了其治疗靶点的有效性及该模型的临床转化潜力。今天,小赛为大家介绍Semaglutide在小鼠MASH模型中的药效测试。
HFD+CCl4诱导的
MASH(NASH)小鼠构建方式
60%的高脂饮食(HFD)饲养C57BL/6小鼠12-16周以成功构建饮食诱导肥胖(DIO)模型,呈现肥胖、高血脂等症状,通过为期6周的CCl4诱导可使肝脏发生纤维化病变。Semaglutide每周皮下给药三次,试验终点分析体成分、血脂四项及病理学等,发现可显著降低高血脂、肝脏脂质堆积、纤维化等表型。

图1 HFD+CCl4诱导的MASH(NASH)小鼠研究概况
Semaglutide在HFD+CCl4诱导的
MASH(NASH)小鼠上的药效验证
小鼠接受12-16周的高脂饲料诱导,体重到达45g以上根据血脂四项及体重随机分组,每周三次皮下给予Semaglutide (30nmol/kg)共6周,期间每周腹腔给予CCl4两次。

图2 体重及体成分检测分析
每周两次进行体重检测,Semaglutide可以显著降低小鼠体重和脂肪含量。数据表示为平均值±标准误,n=5。*P<0.05、**P<0.01和***P<0.001与正常饮食对照组比较;#P<0.05、##P<0.01、###P<0.001,与高脂饮食+CCl4组比较,采用单因素方差分析。

图3 肝重及血脂分析
试验终点进行肝脏称量,Semaglutide组可以显著降低肝脏的重量。给药前和给药后,Semaglutide给药组可以显著降低HFD诱导的高血脂症表型。数据表示为平均值±标准误,n=5。*P<0.05、**P<0.01和***P<0.001与正常饮食对照组比较;#P<0.05、##P<0.01、###P<0.001,与高脂饮食+CCl4组比较,采用单因素方差分析。

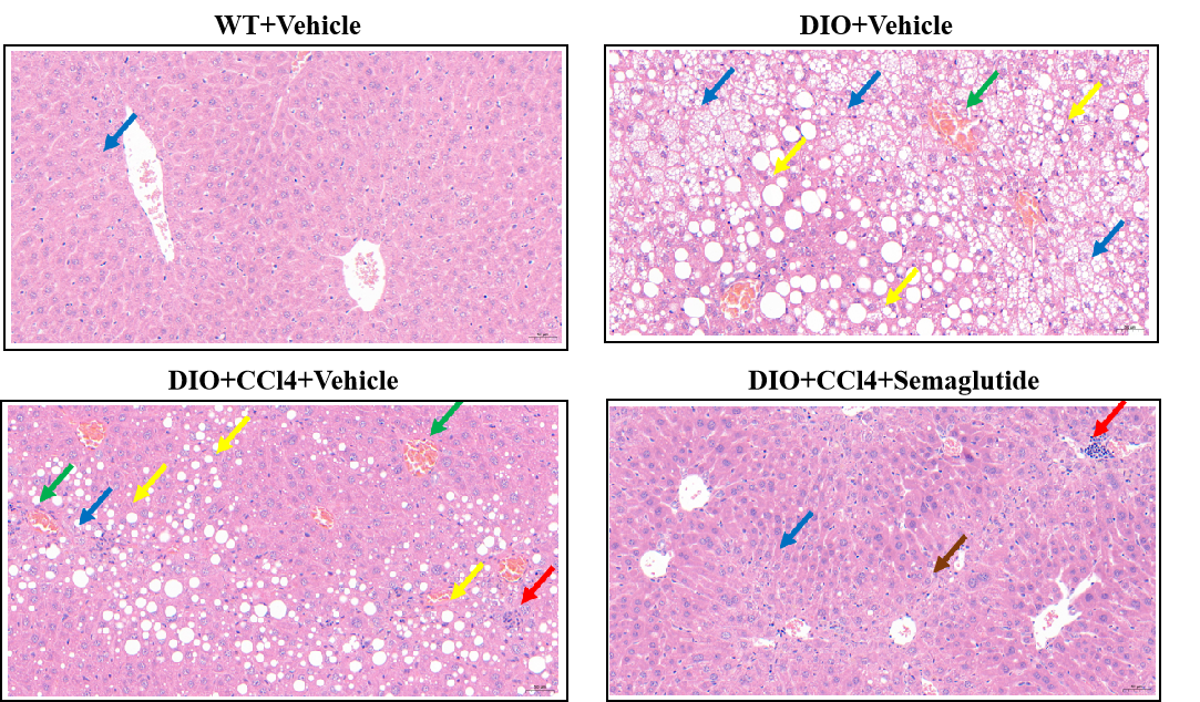
图4 H&E染色病理分析
试验终点采集小鼠肝脏进行组织病理学分析,Semaglutide与DIO模型组比较,降低了气球样变(ballooning)及脂肪性变(steatosis)。综合评分后Semaglutide给药组较DIO及DIO+CCl4组显著降低非酒精性脂肪性肝病(Non-alcoholic Fatty Liver Disease,NAFLD)活动评分(NAS)。黄色箭头表示脂肪变性,蓝箭头表示肝细胞肿胀,红箭头表示淋巴细胞浸润于肝组织不同区域,绿箭头表示中央静脉及门静脉充血,棕箭头表示偶见成纤维细胞增生。数据表示为平均值±标准误,n=5。*P<0.05、**P<0.01和***P<0.001与正常饮食对照组比较;#P<0.05、##P<0.01、###P<0.001,与高脂饮食+CCl4组比较,采用单因素方差分析。

图5 天狼星红染色及病理分析
天狼星红染色结果分析,CCl4模型组较DIO模型组显著增加纤维化程度,Semaglutide可显著降低CCl4诱导的肝脏纤维化。黑色箭头表示肝脏组织中中央静脉周围可见较多胶原纤维增生。数据表示为平均值±标准误,n=5。*P<0.05、**P<0.01和***P<0.001与正常饮食对照组比较;#P<0.05、##P<0.01、###P<0.001,与高脂饮食+CCl4组比较,采用单因素方差分析。
总 结
高脂饮食(HFD)诱导12-16周的小鼠(DIO)较普通饲料喂养的小鼠增加了体重和肝脏的重量。DIO小鼠血清中的TC、HDL-C和LDL-C的水平显著增加,较好地模拟了MASH的症状。DIO小鼠与四氯化碳(CCl4)的组合可以加速和恶化MASH小鼠模型的病理过程,CCl4缩短了诱导时间,并加重了DIO小鼠肝纤维化。这种模型广泛用于临床前药效研究以评估新药对MASH的治疗和保护作用。Semaglutide对DIO+CCl4诱导的MASH模型具有保护和治疗作用,可以有效减少脂肪变性和纤维化。
基于该模型在临床前药效研究中的成功应用,赛业生物代谢平台依托其成熟的动物模型构建技术和药效学评价体系,可进一步支持代谢性疾病领域的深入研究,提供多种用于肥胖、肝病、糖尿病、动脉粥样硬化等代谢和心血管疾病研究的小鼠模型及药效学评价体系,致力于提供优质服务,产出高质量的数据,助力疾病基础研究和新药临床前研究,加速药物开发进程。