19 年
手机商铺
技术资料/正文
431 人阅读发布时间:2025-02-06 10:51
诱导多能干细胞(iPSC)能再分化成特定的细胞类型、组织和器官,联合基因编辑技术使用,可用于探索疾病发生的机制、开发新型有效的药物和细胞治疗等。赛业生物iPSC体外技术服务平台,拥有成熟的重编程、基因编辑和体外分化技术,同时结合一站式表型分析平台,可为客户打造多种疾病应用场景的体外模型构建和检测服务。

iPSC体外疾病模型研究思路
使用iPSC体外疾病模型的优势
1.小鼠模型不能完全展现人类疾病的表型与发生机制,使用iPSC疾病模型更能模拟人类疾病的发生。
2.可创造遗传背景单一的细胞系,减少因遗传背景差异而导致的表型变异。
3.iPSC在体外可无限扩增和定向分化,有利于大规模的药物筛选和替代较难获得的原代细胞系。
赛业生物iPSC体外技术服务平台
01 iPSC重编程
赛业生物拥有先进的体细胞重编程技术,可通过血液收集体细胞样本进行重编程,产生高质量的人iPS细胞,成功率高达99%。我们采用稳定的附加型质粒重编程方法,非整合,不影响下游实验;同时具有标准化操作流程兼容多种培养体系,可大规模生产高纯度细胞。

细胞形态

核型检测

STR分型检测

细胞特异性标志物

流式检测

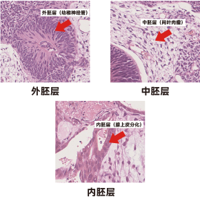
畸胎瘤验证

02 iPSC基因编辑
随着基因编辑技术的进一步发展,对患者的诱导多能干细胞进行基因编辑,校正致病基因的突变并用于细胞治疗正成为转化医学和再生医学研究的热点。赛业生物拥有优化升级的iPSC基因编辑体系,递送载体HDR效率高达50%,转染效率>50%,转染活率>80%。
且由强大的AI算法赋能:罕见病数据中心(RDDC)开发的RNA剪接模型工具提供支持,可辅助筛选WB阴性克隆;基于Smart-CRISPR™细胞基因编辑系统,轻松实现基因敲除、基因敲入等多种策略,编辑效率高达90%。

通过基因编辑技术,在诱导性多能干细胞iPSC中的AAVS1位点敲入EGFP基因。如图所示,通过RNP法将sgRNA和donor转染到iPSC中,经过HDR途径将EGFP序列插入AAVS1位点。

图1 EGFP敲入方案设计
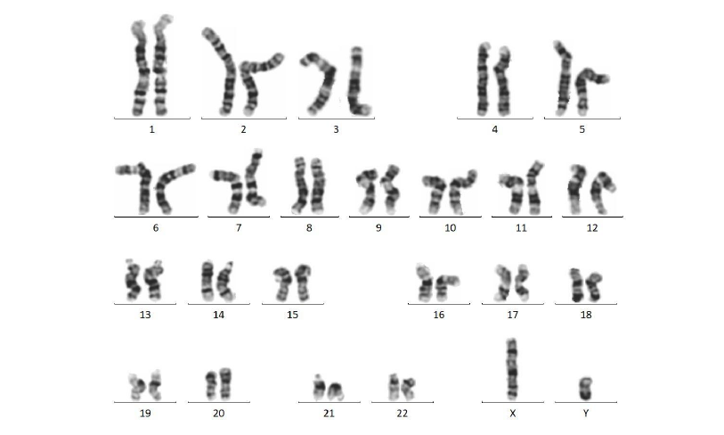
经过PCR和测序鉴定,确定获得在AAVS1位点敲入EGFP的纯合iPSC细胞系,荧光显微镜下观察到EGFP 100%表达。细胞培养后经G显带进行染色体核型分析,显示染色体数为46数目正常,染色体结构无明显异常。通过免疫荧光染色检测NANOG、OCT4和SOX2三个干性标记基因,均能检测出阳性信号,表明该敲入细胞具有干性。

图2 iPSC-EGFP KI琼脂糖凝胶电泳鉴定结果
注:引物设计策略为扩增整个EGFP及其所在基因组上下游的部分序列。无插入EGFP的带型为762bp,成功插入EGFP的带型为3194bp处。结果显示,4个单克隆在3194bp处出现条带,说明克隆成功插入EGFP,且为纯合克隆。


图3 iPSC-EGFP KI测序结果

图4 iPSC-EGFP KI纯合克隆荧光图片(EGFP在iPSC纯合克隆中100%表达)

图5 iPSC-EGFP KI核型分析(细胞培养后经G显带进行染色体核型分析,显示染色体数为46数目正常,染色体结构无明显异常)

图6 iPSC-EGFP免疫荧光-干性检测(通过免疫荧光染色,检测NANOG、OCT4和SOX2三个干性标记基因,均能检测出阳性信号,表明该敲入细胞具有干性)
03 iPSC定向分化
定向分化即将iPSC通过特定的实验条件和细胞培养体系引导转化为目标类型的体细胞,如神经元、心肌细胞、肝细胞等,赛业生物能提供多种疾病模型构建及药物筛选平台,为广大研究人员提供优质的个性化定制服务。

神经干细胞(NPC)分化——神经疾病及药物模型

运动神经元(MN)分化——ALS等神经疾病及药物模型

造血干细胞(CD34+)分化——可用于血液谱系细胞分化如NK、T细胞等
