赛业(苏州)生物科技有限公司品牌商

18

手机商铺

qrcode
商家活跃:
产品热度:
  • NaN
  • 0.7999999999999998
  • 1.7999999999999998
  • 0.7999999999999998
  • 3.8
品牌商

赛业(苏州)生物科技有限公司

入驻年限:18

  • 联系人:

    客服经理

  • 所在地区:

    江苏 苏州市 太仓市

  • 业务范围:

    细胞库 / 细胞培养、试剂、技术服务、耗材

  • 经营模式:

    经销商 科研机构 生产厂商

在线沟通

技术资料/正文

iPSC体外疾病模型研究平台上线啦!助力开启细胞与基因治疗新时代

348 人阅读发布时间:2022-12-07 18:04

iPSC体外疾病模型研究平台上线啦!助力开启细胞与基因治疗新时代
 
 
 
 
科研人员困惑:iPSC细胞点突变无纯合基因型?iPSC细胞基因编辑时总是分化?iPSC细胞基因修饰后拿不到单克隆?
 
iPSC体外疾病模型研究平台来帮你!
 
 
 
iPSC体外疾病模型研究平台
图1 iPSC体外疾病模型研究思路
 
诱导多能干细胞(iPSC)能再分化成特定的细胞类型、组织和器官,联合基因编辑技术使用,可用于探索疾病发生的机制、开发新型有效的药物和细胞治疗等。赛业生物iPSC体外疾病模型研究平台,拥有成熟的基因编辑技术和干细胞培养体系,攻克了iPS细胞培养难、基因编辑、单克隆化难等多方面问题,同时结合一站式表型分析服务,可为客户打造多种疾病应用场景的体外模型构建和检测服务。
 
 
iPSC体外疾病模型研究平台上线啦!助力开启细胞与基因治疗新时代
 
 
 
欢迎扫码联系我们
 
 
01 使用iPSC体外疾病模型的优势
1、小鼠模型不能完全展现人类疾病的表型与发生机制,使用基因编辑iPSC细胞疾病模型更能模拟人类疾病的发生
2、可创造遗传背景单一的细胞系,减少因遗传背景差异而导致的表型变异。
3、iPSC在体外可无限扩增和定向分化,有利于大规模的药物筛选和替代较难获得的原代细胞系。
 
 
02 iPSC体外疾病模型服务内容及交付标准
iPSC体外疾病模型研究平台上线啦!助力开启细胞与基因治疗新时代
 
*额外检测服务根据客户需求:可提供核型、脱靶、流式、WB、luciferase、增殖、凋亡、周期、迁移/侵袭等。
 
03 构建iPSC体外疾病模型的技术难点与解决方案
 
iPSC体外疾病模型研究平台上线啦!助力开启细胞与基因治疗新时代
 
04 赛业iPSC基因修饰的技术优势
1、成熟基因编辑技术平台:从体内动物实验到体外细胞实验,上万例成功基因编辑项目积累。
 
2、优化升级的iPSC基因编辑体系:新升级递送载体HDR效率达到50%,转染效率>50%,转染活率>80%。
 
3、独创Smart-CRISPR™技术:全新升级的细胞基因编辑系统Smart-CRISPR™,轻松实现基因敲除、基因敲入除等多种策略,编辑效率高达90%。
 
4、快速交付:稳转株周期快至8周,基因敲除周期快至8周,敲入周期快至12周。
 
5、专业的项目管理:24h内出方案,定期反馈项目进展,博士团队技术支持,详尽的交付报告,并可根据要求提供不同克隆(纯合子、杂合子和对照)细胞的交付。
 
05 iPSC体外疾病模型服务案例
iPSC-EGFP-KI细胞模型建立
通过CRISPR/Cas9基因编辑技术,在诱导性多能干细胞iPSC中的某基因中插入EGFP荧光标记(700bp)。如下图所示,在外显子E2的上下游设计sgRNA,并设计包含EGFP的Donor序列。通过RNP法将sgRNA和Donor转染到iPSC中,经过HDR途径将EGFP序列插入外显子E2序列的后段。
 
 
iPSC体外疾病模型研究平台上线啦!助力开启细胞与基因治疗新时代

图2 EGFP敲入方案设计
 
 
经过PCR和测序鉴定,确定获得在外显子E2序列后插入EGFP的杂合iPSC细胞系。细胞培养后经G显带进行染色体核型分析,显示染色体数为46数目正常,染色体结构无明显异常。通过免疫荧光染色,检测NANOG、OCT4和SOX2三个干性标记基因,均能检测出阳性信号,表明该敲入细胞具有干性。
 
 
iPSC体外疾病模型研究平台上线啦
 
图3 iPS-EGFP KI琼脂糖凝胶电泳鉴定结果
(来源:赛业生物)
 
注:引物设计策略为扩增整个EGFP及其所在基因组上下游的部分序列。无插入EGFP的带型为2430bp,成功插入EGFP的带型应在3213bp处出现条带。结果显示,编号1到8等8个单克隆在2430bp和3213bp处出现条带,说明这些克隆已经成功插入EGFP,且为杂合克隆。
 
 
KI条带5’sequence:
 
iPSC体外疾病模型研究平台上线啦!助力开启细胞与基因治疗新时代
 
 
KI条带3’sequence:
iPSC体外疾病模型研究平台上线啦!助力开启细胞与基因治疗新时代
图4 iPS-EGFP KI测序结果
 
注:KI条带5’sequence展示序列为EGFP插入片段的5’端及其所在基因组的上游部分序列;KI条带3’sequence为EGFP插入片段的3’端及其所在基因组的下游部分序列。测序分析KI条带5’序列和3’序列均可与EGFP匹配且为套峰,证明克隆为EGFP插入片段的杂合子克隆。
 
 
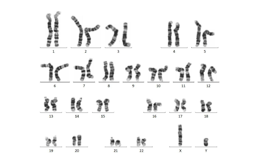
iPSC体外疾病模型研究平台上线啦!助力开启细胞与基因治疗新时代
 
 
 
 
 图5 iPS-EGFP KI核型分析(细胞培养后经G显带进行染色体核型分析,显示染色体数为46数目正常,染色体结构无明显异常)
 
 
iPSC体外疾病模型研究平台上线啦!助力开启细胞与基因治疗新时代
 
 
图6 iPS-EGFP免疫荧光-干性检测(通过免疫荧光染色,检测NANOG、OCT4和SOX2三个干性标记基因,均能检测出阳性信号,表明该敲入细胞具有干性)
 
注:通过对干细胞相关基因进行免疫荧光检测,数据显示IPS经过编辑后仍然具有干性
 
 
06 iPSC体外疾病模型应用场景
帕金森病机制研究——PARK2-KO-iPSC模型的构建
帕金森病(PD)是一种不可治愈的神经退行性疾病,其特征是中脑多巴胺能神经元的进行性丧失和随后的纹状体多巴胺耗竭。散发性和家族性PD发病机制多因为线粒体功能障碍和氧化应激。其中,PARK2基因的突变(对线粒体功能有重要影响)会导致常染色体隐性家族性帕金森病。
 
帕金森病发病机制中帕金森功能障碍的研究,所用到的帕金森基因敲除动物模型仅表现出轻微的疾病表型。而来自家族性PD患者的诱导多能干细胞(iPSCs)或通过基因组编辑引入的具有PARK2突变的细胞,能够在体外研究人类多巴胺能神经元的帕金功能障碍。具有PARK2突变的PD患者iPSC衍生神经元显示氧化应激增加、α-突触核蛋白积累以及线粒体形态和功能紊乱。
 
 
iPSC体外疾病模型研究平台上线啦!助力开启细胞与基因治疗新时代
 
图7 PARK2-KO-iPSC模型构建及分析[1]
 
作者在WT-iPSC的基础上对PARK2进行敲除,获得PARK2-KO-iPSC。再将WT-iPSC和PARK2-KO-iPSC分化成多巴胺能神经元。对两种iPSC进行蛋白质组变化的通路分析,发现PARK2 KO神经元细胞周期调节、氧化应激和能量代谢的紊乱。并且通过多种实验检测发现PARK2-KO神经元的线粒体和形态产生异常、糖酵解和乳酸代谢不足、细胞增殖和存活率降低。
 
赛业生物还可提供干细胞治疗心梗、过继细胞免疫治疗、阿尔茨海默病药物筛选等更种体外模型应用场景
 
 
 
赛业生物Smart-CRISPR™基因编辑系统
赛业生物扎根细胞领域十几年,重磅开发的Smart-CRISPR™细胞基因编辑系统,通过深度的基因信息分析、优秀的gRNA设计,以及表型预测、脱靶分析等多个方面综合考量,可提供高效率、高成功率的基因编辑方案,为您快速定制各类基因编辑单核细胞系/单克隆细胞株。
 
打开赛业生物Smart-CRISPR™基因编辑系统
 
 
参考文献:
[1]Bogetofte H, Jensen P, Ryding M, et al. PARK2 Mutation Causes Metabolic Disturbances and Impaired Survival of Human iPSC-Derived Neurons. Front Cell Neurosci. 2019;13:297. Published 2019 Jul 5. doi:10.3389/fncel.2019.00297
资料格式:

1.jpg

查看详细文档

上一篇

如何搭建自己的科研体系?这些资料包可能只有1%的人知道……

下一篇

CAR分子构建与慢病毒包装那些你不能错过的知识点

我的询价