18 年
手机商铺
公司新闻/正文
565 人阅读发布时间:2020-11-11 10:26

想调整研究方向,获得学术研究突破口?想获得论文选题思路,提高发文命中率?你需要了解学科发展态势和未来走向!赛业生物专栏《Gene of the Week》每周会根据热点研究领域介绍一个基因,详细为您介绍基因基本信息、研究概况和应用背景等,助您保持学术研究敏锐度,提高科学研究效率,期待您的持续关注哦。今天我们要讲的主角是在代谢、心血管、神经退行性疾病等疾病的发病过程中发挥重要作用的SIRT3基因。
基因基本信息

备注:标有√的意为赛业红鼠库有该种保存状态的小鼠
SIRT3基因研究概况
SIRT3是哺乳动物sirtuin蛋白家族的成员,表现出NAD+依赖性脱乙酰酶活性。人类sirtuins具有一系列分子功能,并已成为衰老,抗逆性和代谢调节中的重要蛋白质。除了蛋白质脱乙酰化之外,研究表明人类sirtuin还可以作为具有单ADP核糖基转移酶活性的细胞内调节蛋白起作用。三种sirtuins,SIRT3,SIRT4和SIRT5,位于线粒体中,并参与调节代谢过程。内源性SIRT3是位于线粒体基质中的可溶性蛋白质,有大量已发表的文献表明线粒体功能,衰老和致癌作用之间存在强大的机制联系。
SIRT3编码的蛋白质仅存在于线粒体中,在那里它可以消除活性氧,抑制细胞凋亡,并防止癌细胞的形成。SIRT3对核基因表达、癌症、心血管疾病、神经保护、衰老和代谢控制具有深远的影响。与SIRT3相关的疾病包括衰老和非酒精性脂肪肝疾病。其相关途径包括由 III类HDAC介导的细胞器的形成和维持和传导。与该基因有关的基因本体论(GO)注释包括酶结合和NAD+依赖型ADP核糖基转移酶活性。

表1. SIRT3调节对代谢紊乱和相关途径的影响。

表2. SIRT3调节对心血管疾病和相关途径的影响。

表3. SIRT3调节对神经退行性疾病和相关途径的影响。
在来自患有乳腺癌的女性的肿瘤样品中,与正常乳腺组织相比,SIRT3表达降低。因此,Sirt3敲除模型可用于研究ER / PR阳性乳腺肿瘤发展。此外,这种小鼠还可用于研究脂肪酸氧化在糖尿病,心血管疾病,脂肪变性,禁食,冷暴露和寿命中的作用。

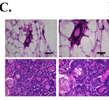
图1.SIRT3是位于线粒体的小鼠肿瘤抑制因子。
A)SIRT3敲除小鼠发展为乳腺肿瘤。显示了SIRT3野生型和基因敲除小鼠在24个月时的乳腺肿瘤总数。C)来自SIRT3+/+和发生乳腺肿瘤的SIRT3-/-小鼠的乳腺组织的代表性H&E染色切片。
SIRT3基因在人体组织的表达

图2. 人和小鼠SIRT3基因mRNA相对表达量,睾丸是表达量最高的器官,大脑、心脏、肾脏也是高表达组织,在睾丸、大脑中高表达;但肝脏和卵巢的表达在人和小鼠的表达却是截然不同的(数据经过归一化处理,同物种内部比较,小鼠和人之间无可比性)。数据来源:NCBI。
推荐文献:
1. Schwer B, North BJ, Frye RA, Ott M, Verdin E (August 2002). "The human silent information regulator (Sir)2 homologue hSIRT3 is a mitochondrial nicotinamide adenine dinucleotide-dependent deacetylase". Journal of Cell Biology. 158 (4): 647–57.
2. Onyango P, Celic I, McCaffery JM, Boeke JD, Feinberg AP (October 2002). "SIRT3, a human SIR2 homologue, is an NAD-dependent deacetylase localized to mitochondria". Proceedings of the National Academy of Sciences of the United States of America. 99 (21): 13653–58.
3. Gomes P , Viana S D , Nunes S , et al. The yin and yang faces of the mitochondrial deacetylase sirtuin 3 in age-related disorders[J]. Agng Research Reviews, 2019, 57:100983.
4. Zhang J, Xiang H, Rong-Rong He R, Liu B (2020). "Mitochondrial Sirtuin 3: New emerging biological function and therapeutic target". Theranostics (journal) 10 (18): 8315–8342.
5. Scher MB, Vaquero A, Reinberg D (April 2007). "SirT3 is a nuclear NAD+-dependent histone deacetylase that translocates to the mitochondria upon cellular stress". Genes Dev. 21 (8): 920–28.
赛业OriCell第三届细胞培养图片大赛开始啦

漂亮的细胞总是相似的,而狗带的细胞各有各的精彩。正逢一年一度的赛业OriCell第三届细胞培养图片大赛,我们征集了群里小伙伴们的建议,这次的比赛不仅比谁养得细胞更漂亮,还比谁养细胞更惨,让大家从成功和失败正反双面总结细胞培养的经验教训。快扫描下方二维码参加“OriCell第三届细胞培养图片大赛”吧,在分享经验造福广大科研汪的同时,还可以赢得心动大奖。
